Zahnspangen Vorher-Nachher Bilder:
Vorher-Nachher Bilder
Sie fragen sich, ob eine Zahnspange Ihre Zahnfehlstellungen beheben kann? Möchten Sie wissen, wie Ihr Lächeln nach der Behandlung aussehen könnte? Haben Sie Bedenken, wie lange die Behandlung dauern wird oder welche Art von Zahnspange für Sie geeignet ist?
Unsere Vorher-Nachher-Bilder bieten Ihnen die Antwort auf genau diese Fragen. Sie zeigen beeindruckend, wie sich Zähne und Biss durch eine kieferorthopädische Behandlung verändern und welche ästhetischen und funktionalen Verbesserungen erzielt werden können.
Die Lösung: Jeder Fall ist individuell, aber dank modernster Technologien und umfassender Beratung können wir für jeden Patienten den optimalen Behandlungsplan entwickeln. Gemeinsam mit Ihnen besprechen wir:
- Welche Zahnspange am besten für Ihre Bedürfnisse geeignet ist – ob fest oder herausnehmbar, sichtbar oder nahezu unsichtbar.
- Wie lange die Behandlung dauert – abhängig von der Komplexität Ihrer Zahnstellung.
- Welche Ergebnisse Sie erwarten können – realistische Prognosen auf Basis Ihrer Vorher-Nachher-Bilder.
- Wie Sie während der Behandlung die Gesundheit Ihrer Zähne bewahren – durch Tipps zur optimalen Zahnpflege und regelmäßige Kontrolltermine.
Zahnspangen Vorher-Nachher Fotos und Beschreibungen der erfolgten Behandlung:
Behandlung eines beidseitigen Klasse-II-Tiefbisses mit Nichtanlage der Schneidezähne: Vorher-Nachher
Vorher: Der Patient hatte einen tiefen Biss, bei dem die oberen Zähne die unteren fast vollständig überlappten, was zu einer unausgewogenen Zahnstellung führte. Zusätzlich fehlten ihm beidseitig die zweiten Schneidezähne, wodurch große Lücken entstanden, die das Lächeln unvollständig erscheinen ließen.
Nachher: Nach einer Multibracket-Behandlung mit Speed Brackets zeigt sich ein beeindruckendes Ergebnis: Die Zahnreihen sind nun harmonisch ausgerichtet, und die Lücken wurden geschlossen, sodass das Gebiss wieder vollständig und gleichmäßig wirkt. Der Tiefbiss wurde korrigiert, und das Lächeln erscheint nun ausgeglichen und ästhetisch ansprechend.
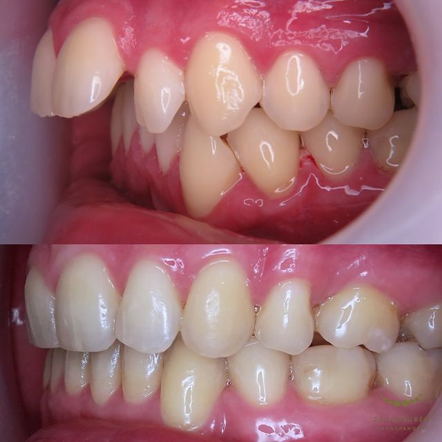
Behandlung einer Klasse-II-Fehlstellung mit Tiefbiss und Engstand: Vorher-Nachher
Vorher: Der Patient zeigte deutlich eng stehende Zähne und einen ausgeprägten Tiefbiss, bei dem die oberen Zähne die unteren fast vollständig verdeckten. Diese Anordnung führte zu einem ungleichmäßigen Lächeln und einer eingeschränkten Bissfunktion.
Nachher: Nach der Behandlung sind die Zähne gleichmäßig und mit ausreichendem Abstand angeordnet, was nicht nur ein ästhetisch harmonisches Bild ergibt, sondern auch die Funktionalität des Bisses verbessert. Die oberen und unteren Zahnreihen stehen jetzt in einem gesunden Verhältnis zueinander, was dem Patienten ein offenes, selbstbewusstes Lächeln ermöglicht.
Korrektur einer Klasse-III-Fehlstellung mit festsitzender Zahnspange: Vorher-Nachher
Vorher: Der Patient zeigte eine deutliche Klasse-III-Fehlstellung, bei der die unteren Zähne vor den oberen standen. Diese Zahnfehlstellung beeinträchtigte die Funktionalität des Gebisses und das ästhetische Gesamtbild.
Nachher: Durch die Anwendung einer festsitzenden Zahnspange wurde die Zahnstellung erfolgreich korrigiert. Die obere und untere Zahnreihe stehen nun harmonisch zueinander und verleihen dem Patienten ein symmetrisches und ansprechendes Lächeln.
Behandlung eines Kreuzbisses mit einer Kappenschiene: Vorher-Nachher
Vorher: Ein achtjähriger Patient stellte sich mit einem einseitigen Kreuzbiss und einer Mittellinienverschiebung vor, die nicht nur die Zahnstellung beeinträchtigten, sondern auch das harmonische Erscheinungsbild des Gebisses störten. Zusätzlich bestand ein Platzproblem im Kiefer, das die korrekte Zahnstellung erschwerte.
Nachher: Durch den Einsatz einer speziell angepassten Kappenschiene konnte der Kreuzbiss korrigiert und die Mittellinie erfolgreich ausgeglichen werden. Das Platzproblem wurde gelöst, was zu einer verbesserten Zahnstellung und einem ästhetisch ansprechenden Lächeln führte. Diese Behandlungsmethode zeigt die Effektivität moderner kieferorthopädischer Lösungen, die gezielt auf die Bedürfnisse junger Patienten abgestimmt sind.
Vorher-Nachher: Behandlung eines Zapfenzahns und asymmetrischer Klasse-II-Fehlstellung
Vorher: Der Patient kam mit mehreren Herausforderungen zu uns: einem Zapfenzahn, erheblichem Engstand, einer deutlichen Verschiebung der Mittellinie, einer asymmetrischen Klasse-II-Malokklusion und einem Zungenhabit, das die Zahnstellung weiter beeinträchtigte.
Nachher: Mit Hilfe einer festen Zahnspange konnten die Fehlstellungen schrittweise korrigiert werden. Am Ende der Behandlung wurde der Zapfenzahn durch Aufbauen der Schneidezähne ästhetisch angepasst.
Vorher-Nachher: Behandlung einer ausgeprägten Klasse-II-Malokklusion mit extremem Vorbiss
Vorher: Der Patient kam mit einem stark ausgeprägten Vorbiss und einer Fehlstellung der Zähne in unsere Praxis, was sowohl das Kauen als auch das Sprechen beeinflusste.
Nachher: Durch die Behandlung wurde der Vorbiss Schritt für Schritt korrigiert und die Zähne in eine bessere Position gebracht. Die Kieferrelation und die allgemeine Zahnstellung haben sich im Laufe der Behandlung deutlich verändert.
Vorher-Nachher: Behandlung einer asymmetrischen Klasse-II-Malokklusion
Vorher: Der Patient kam mit einer asymmetrischen Klasse-II-Malokklusion, einem Engstand und einem Vorbiss von 14 mm. Zusätzlich lag eine retrognathe Mandibula vor, was die Kieferstellung beeinträchtigte und funktionelle Probleme verursachte.
Nachher: Nach der zweijährigen Behandlung, in der vier Zähne entfernt und der Unterkiefer operativ korrigiert wurden, wurde ein dauerhafter Retainer eingesetzt, um die ideale Position der Zähne langfristig zu stabilisieren. Der Patient verließ die Praxis mit einem harmonisch ausgerichteten und funktional verbesserten Gebiss.
Vorher-Nachher: Korrektur eines Klasse-II-Überbisses mit Engstand
Vorher: Der Patient litt unter einem Klasse-II-Überbiss von 6 mm sowie einer erheblichen Engstellung im Ober- und Unterkiefer. Die Fehlstellung beeinträchtigte sowohl die Funktion als auch das ästhetische Erscheinungsbild des Gebisses.
Nachher: Nach erfolgreicher Behandlung wurde der Unterkiefer operativ korrigiert und der Tiefbiss behoben. Das Ergebnis zeigt ein harmonisch ausgerichtetes Gebiss mit verbesserter Funktion und Ästhetik.
Vorher-Nachher: Behandlung eines Klasse III Bisses und zirkulären Kreuzbisses
Vorher: Der Patient kam mit einer ausgeprägten Fehlstellung, einem sogenannten Klasse III Biss und einem zirkulären Kreuzbiss. Diese Kombination führte dazu, dass die oberen und unteren Zahnreihen nicht korrekt aufeinander bissen, was sowohl funktionelle als auch ästhetische Einschränkungen zur Folge hatte.
Nachher: Durch eine fest sitzende Zahnspange und eine unterstützende Oberkieferoperation konnten die Zahnreihen harmonisch ausgerichtet werden. Der Biss ist nun korrigiert, die Zähne sind gleichmäßig angeordnet, und die Funktionalität sowie das ästhetische Gesamtbild sind deutlich verbessert. Das Ergebnis ist ein stabiler und gut ausgerichteter Biss.
Korrektur einer Zahnfehlstellung mit festsitzender Zahnspange und chirurgischer Unterstützung: Vorher Nachher
Vorher: Der Patient litt unter einer deutlichen Fehlstellung im Seitenzahnbereich. Die Zähne waren stark gekippt und unregelmäßig, was nicht nur die Ästhetik beeinträchtigte, sondern auch funktionelle Probleme beim Kauen verursachte.
Nachher: Nach einer Behandlung mit einer festsitzenden Zahnspange und einem unterstützenden chirurgischen Eingriff sind die Zähne nun gerade und optimal ausgerichtet. Die Zahnreihen stehen harmonisch zueinander, der Biss ist stabil, und das Kauen funktioniert wieder reibungslos.
Vorher Nachher: Korrektur eines Engstands im Unterkiefer
Vorher: Der Patient kam mit einem starken Engstand der unteren Zähne in die Praxis. Mehrere Zähne überlappten sich, was sowohl die Zahnreinigung als auch die Zahnfunktion beeinträchtigte.
Nachher: Nach der kieferorthopädischen Behandlung sind die Zähne gerade ausgerichtet und der Engstand wurde vollständig korrigiert. Ein Retainer sorgt dafür, dass die Zähne in ihrer neuen Position stabil bleiben. Der Biss und die Ästhetik des Unterkiefers sind nun deutlich verbessert.
Korrektur eines zirkulären Kreuzbisses
Vorher: Der Patient kam mit einem zirkulären Kreuzbiss zu uns, bei dem die Zähne falsch aufeinander bissen und das Lächeln beeinträchtigt war. Diese Fehlstellung führte zu funktionellen Einschränkungen und einem unharmonischen Gesamtbild.
Nachher: Durch eine gezielte kieferorthopädische Behandlung wurde der Biss korrigiert und die Zähne perfekt ausgerichtet. Das Ergebnis ist ein harmonisches und strahlendes Lächeln, das sowohl ästhetisch als auch funktional überzeugt!
Vorher-Nachher: Korrektur eines ektopischen Eckzahns und Klasse-II-Malokklusion
Vorher: Der Eckzahn des Patienten war ektopisch positioniert, das heißt, er war außerhalb der normalen Zahnreihe gewachsen, was zu einer Klasse-II-Malokklusion führte. Dies beeinträchtigte sowohl die Funktion als auch die Ästhetik des Gebisses.
Nachher: Nach der erfolgreichen Korrektur ist der Eckzahn nun in der idealen Position in die Zahnreihe integriert, die Klasse-II-Malokklusion wurde behoben. Das Ergebnis ist ein harmonisch ausgerichtetes Gebiss, das sowohl funktionell als auch ästhetisch verbessert wurde.
Zahnspangen Vorher Nachher: Behandlung eines Schmalkiefers und offenen Bisses
Vorher: Die Patientin kam mit einem Schmalkiefer und einem offenen Biss in die Praxis. Diese Fehlstellungen führten dazu, dass die oberen und unteren Zähne im Frontzahnbereich nicht richtig aufeinander trafen. Sowohl die Funktion als auch das ästhetische Erscheinungsbild ihres Lächelns waren dadurch beeinträchtigt.
Nachher: Durch den Einsatz von Zahnspangen konnte der Kiefer erweitert und der offene Biss korrigiert werden. Die Zahnreihen sind nun harmonisch ausgerichtet und der Biss ist vollständig geschlossen.
Korrektur eines extremen Engstands und protrusiver Zähne
Vorher: Die Patientin litt unter einem extremen Engstand, bei dem die Zähne aufgrund des Platzmangels im Kiefer stark hervortraten (protrusiv). Dies führte zu funktionellen Problemen und beeinträchtigte die Ästhetik des Gebisses erheblich.
Nachher: Um den Engstand zu korrigieren, wurden vier Prämolaren entfernt, und mithilfe einer Zahnspange konnten die verbleibenden Zähne harmonisch ausgerichtet werden. Das „Zahnspangen Vorher-Nachher“-Ergebnis zeigt ein funktional und ästhetisch optimiertes Gebiss mit einer deutlich verbesserten Zahnstellung.
Korrektur eines Scherrbisses bei einem 12-jährigen Patienten
Vorher: Der 12-jährige Patient litt unter einer Klasse-II-Malokklusion, einem Scherrbiss und einer retrognathen Mandibula, was sowohl funktionelle als auch ästhetische Einschränkungen verursachte. Diese Fehlstellung führte dazu, dass die Zähne im Ober- und Unterkiefer nicht richtig aufeinander trafen.
Nachher: Nach einer zweijährigen Behandlung mit Zahnspangen konnte der Scherrbiss vollständig korrigiert und die Kieferposition optimiert werden. Das Endergebnis zeigt eine harmonische Ausrichtung der Zähne und eine deutliche Verbesserung der Kieferfunktion. Diese erfolgreiche Zahnspangen-Behandlung verdeutlicht die Möglichkeiten der modernen Kieferorthopädie.
Festsitzende Zahnspange und keramische Veneers: Vorher-Nachher
Vorher: Der Patient hatte deutliche Fehlstellungen und unregelmäßige Zahnzwischenräume, was sowohl die Funktionalität als auch das Aussehen des Gebisses beeinträchtigte.
Nachher: Nach der Behandlung mit einer fest sitzenden Zahnspange wurden die Zähne erfolgreich ausgerichtet. Um das ästhetische Ergebnis weiter zu optimieren, erhielt der Patient anschließend keramische Veneers. Das Ergebnis mit der festsitzenden Zahnspange zeigt eine beeindruckende Veränderung mit einem harmonisch ausgerichteten und strahlenden Lächeln.
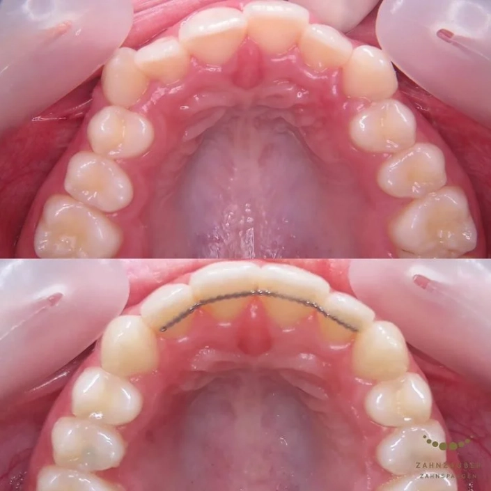
Korrektur einer Mittellinienverschiebung mit Zahnspange
Vorher: Die Patientin kam mit einer starken Mittellinienverschiebung, Engstand und sichtbaren Zahnlücken in die Praxis. Diese Fehlstellungen führten zu funktionalen Einschränkungen und beeinträchtigten das ästhetische Gesamtbild ihres Lächelns.
Nachher: Durch den Einsatz einer Zahnspange konnte die Mittellinie erfolgreich korrigiert und die Zahnlücken geschlossen werden. Die Zähne sind jetzt harmonisch ausgerichtet, was sowohl die Funktionalität als auch das Aussehen deutlich verbessert hat. Das Zahnspangen Vorher-Nachher-Ergebnis zeigt die eindrucksvolle Transformation.
Behandlung mit durchsichtigen Schienen: Vorher-Nachher
Vorher: Der Patient kam mit leichten Zahnfehlstellungen zu uns, die das ästhetische Gesamtbild seines Lächelns beeinträchtigten. Trotz der milden Fehlstellungen war eine Korrektur notwendig, um die Zähne harmonisch auszurichten.
Nachher: Mithilfe von durchsichtigen Schienen konnten die Zähne ohne den Einsatz einer festen Zahnspange schonend und nahezu unsichtbar begradigt werden. Das Ergebnis zeigt eine deutlich verbesserte Zahnstellung und ein ästhetisch ansprechendes Lächeln. Diese Transformation mit einer unsichtbaren Zahnspange verdeutlicht die Effektivität moderner, unsichtbarer Behandlungsmethoden.
Innenliegende Zahnspange: Vorher-Nachher
Vorher: Der Patient hatte Fehlstellungen, die sowohl die Funktionalität als auch das ästhetische Erscheinungsbild beeinträchtigten. Die Behandlung erforderte eine Korrektur, sollte jedoch möglichst unsichtbar von außen bleiben.
Nachher: Dank der innenliegenden Zahnspange konnten die Zähne effektiv ausgerichtet werden, ohne dass die Spange von außen sichtbar war. Das Ergebnis zeigt ein perfekt ausgerichtetes Gebiss, wobei die Korrektur diskret erfolgte.
Echte Google Rezensionen
Weitere verifizierte Erfahrungsberichte auf Google MyBusiness finden Sie hier.
Ihre unverbindliche Erstberatung:
Stellen Sie alle Ihre Fragen
Vereinbaren Sie jetzt ein unverbindliches Beratungsgespräch und erhalten Sie Informationsmaterial über „Ihre Zahnspange“ sowie einen Kostenvoranschlag (siehe auch Zahnspange Kosten). Wir beantworten gerne alle Ihre Fragen und Anliegen.




















































