Kieferorthopädie Wien:
Große, kleine, kariöse, gesunde, abgekaute, gebrochene, gelbe, weiße, schiefe … einfach alle!
Wir lieben Zähne! Hinter diesen Worten steht für uns kein werbewirksamer Marketingsatz, der von einem Werbefachmann erfunden worden ist. Es ist einfach so!
Ich habe mich zur Kieferorthopädin aus dem speziellen Interesse zur „Zahnoptimierung“ fortgebildet und nehme fortlaufend an Weiterbildungen in der Kieferorthopädie teil. Nicht wirklich, weil dies zu meinem Berufsbild gehört, da wären die unzähligen Kurse nicht nötig und würden das übliche Weiterbildungsausmaß weit übersteigen, sondern weil ich ein besonderes Faible für Zähne habe.
Unsere kieferorthopädischen
Leitsätze
Persönliche Begleitung
Ich möchte meine Patienten während der gesamten kieferorthopädischen Behandlung persönlich begleiten und dadurch ein optimales Ergebnis ermöglichen.
Höchste Qualität
Alle Kontrolltermine werden persönlich von Kieferorthopädin Dr. Borbely ausgeführt oder gesteuert, damit jede kleine Veränderungen in der Zahnbewegung nicht übersehen wird. Das garantiert optimierte Behandlungszeiten mit einem perfekten Ergebnis. Das Optimum für meine Patienten getan zu haben, ist unsere höchste Prämisse.
Bestes Ergebnis
Bei der Abnahme der Zahnspange werden auch auf Wunsch kleine Korrekturen im Zahnerscheinungsbild (gerade Kanten und Ecken) von mir persönlich durchgeführt um dadurch ein noch besseres optisches Ergebnis zu erreichem.
Unsere modernen Behandlungsmethoden in der Kieferorthopädie
Wir bieten unseren Patienten immer die neuesten, am wenigsten invasiven und auf die persönlichen Bedürfnisse abgestimmten Behandlungsmethoden der Kieferorthopädie an. Hiermit können wir jeden Patienten optimal und individuell auf Ihrem/Seinem Weg zu perfekten Zähnen begleiten.
- Festsitzende Zahnspangen: Mit modernen Metall– oder Keramikbrackets, die bei uns alle selbstligierbar sind, können wir sehr schnell alle – auch sehr schwere – Zahnfehlstellungen und Kieferfehlstellungen effektiv behandeln. Selbstligierbar heißt, dass die Brackets ein kleines eingebautes Schloss-System haben, die immer optimal das Bracket am Bogen befestigen und keine Stahl- oder Gummiligaturen benötigt und damit viel besser sauber gehalten werden können als herkömmliche Brackets. Daher gibt es bei uns auch keine Verfärbungen oder Karies nach der festsitzenden Therapie, was früher doch oft der Fall war. Mit dieser kieferorthopädischen Behandlungsform können wir immer ein perfektes Ergebnis garantieren!
- Unsichtbare Aligner (z.B. Invisalign): Transparente, herausnehmbare Schienen, die sich besonders für Ästhetik bewusste Patienten eignen. Die Technologie ist heute so weit vorangeschritten, dass sich auch mit diesen Schienen fast alle Fehlstellungen behandeln lassen. Für Erwachsene und ebenso für Kinder stellt diese Behandlungsalternative eine unkomplizierte, schmerzfreie kieferorthopädischen Behandlungsform dar. Unsere kleinsten Patienten mit 6-8 Jahren lieben diese Schienen!
- Lingualtechnik: Eine komplett unsichtbare Lösung für Zahnfehlstellungen und Kieferfehlstellungen, bei der individuell für die Zahnform und Größe Brackets aus Gold angefertigt werden, die an der Zahninnenseite befestigt werden. Diese kieferorthopädische Behandlungsform ist die unsichtbarste und höchst effektive Therapie, die gerne von sehr Ästhetik bewussten Menschen bevorzugt wird.
- Frühbehandlung für Kinder: Hierbei handelt es sich um spezielle kieferorthopädische Behandlungsansätze, die bereits im frühen Kindesalter begonnen werden sollten (Kinder ab 5 Jahren), um schwere Zahnfehlstellungen und Kieferfehlstellungen früh zu vermeiden und hierbei das gesamte Gesichtswachstum der Kinder günstig zu beeinflussen
Jede dieser Methoden der Kieferorthopädie wird individuell auf den Kiefer von Kindern oder Erwachsenen abgestimmt, um das bestmögliche Ergebnis in kurzer Zeit effektiv zu erreichen.
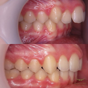
Kieferorthopädie Vorher-Nachher-Bilder:
Bitte machen Sie sich selbst ein Bild, welche beeindruckenden Ergebnisse wir für unsere Patienten in unserer Praxis in Wien erzielen können. Unsere anonymisierten Kieferorthopädie Vorher-Nachher-Bilder zeigen die Kiefer-Transformationen, die durch unsere maßgeschneiderten kieferorthopädischen Behandlungen mit Zahnspangen in kurzer Zeit möglich werden:
Kieferorthopädie Fallbeispiel 1: Erwachsene Patientin, 35 Jahre – Korrektur einer Zahnfehlstellung durch unsichtbare Aligner.
Kieferorthopädie Fallbeispiel 2: Jugendlicher, 14 Jahre – Behandlung einer Überbissfehlstellung mit einer festsitzenden Zahnspange.
Kieferorthopädie Fallbeispiel 3: Kind, 8 Jahre – Frühbehandlung zur Korrektur eines Kreuzbisses.
Diese Beispiele verdeutlichen, wie wir leicht und unkompliziert unsere kieferorthopädischen Behandlungsmethoden auf dem Weg zu einem neuen, selbstbewussten Lächeln verhelfen können.
Sie haben Fragen zur Kieferorthopädie?
Rufen Sie uns an oder vereinbaren Sie gleich einen Termin in unserer Praxis Zahnzauber in Wien!
Kieferorthopädie Kosten
Die Kosten für Ihre kieferorthopädische Behandlung in unserer Praxis sind transparent und einfach nachzuvollziehen. Leider dürfen wir hier unsere Preisliste aufgrund der österreichischen Werberichtlinien der Zahnärztekammer nicht veröffentlichen. Die Kosten der KFO-Behandlung hängen von mehreren Faktoren ab. Hierbei sind die Behandlungsmethode und Behandlungszeit die determinierten Faktoren. Auch ist die Höhe der Rückerstattungen durch die ÖGKK je nach Schwere der Fehlstellung, Alter und Behandlungsart oft entscheidend. Sie erhalten bei einem persönlichen Beratungsgespräch folgenden detaillierten Kosten-Informationen:
- Individuelle Kostenvoranschläge: Nach der kieferorthopädischen Erstberatung erstellen wir genaue, auf Ihre Bedürfnisse und Fehlstellung abgestimmte Kostenvoranschläge, die Ihnen einen Vergleich und die Wahlmöglichkeit zwischen allen Behandlungsmethoden ermöglichen und erleichtern. Hierbei werden Sie über alle anfallenden Kosten informiert. In unserer Praxis gibt es keine versteckten Überraschungen, alles ist klar und transparent meist in Gesamtpreisen zusammengefasst. Alle eventuellen Reparaturarbeiten und zusätzlichen SOS-Termine sind immer im Behandlungspreis inkludiert und es kommen keine weiteren Kosten als im Heilkostenplan vereinbart auf Sie zu.
- Flexible Finanzierungsmöglichkeiten: Wir bieten verschiedene Finanzierungsmodelle für Ihre Zahnregulierung an, die es Ihnen ermöglichen, die Behandlungskosten in Raten zu begleichen.
- Rückerstattung von der ÖGKK und Versicherungsabwicklung: Bei der Erstberatung informieren wir Sie über Ihre genaue Rückerstattung von der ÖGKK oder jeden anderen gesetzlichen Krankenversicherung, je nach Fehlstellung und Alter und Behandlungsmethode. Wir sind bei allen Krankenkassen akkreditiert, d.h. Sie bekommen immer den maximal möglichen Zuschuss von den Versicherungen. Wir unterstützen Sie auch bei den Ansuchen, füllen für Sie Formulare aus und begleiten Sie bei den Rückerstattungen.
Sprechen Sie uns an, um mehr über Ihre Möglichkeiten zu erfahren!
Von unseren Patienten verfasste Rezensionen über Ihre kieferorthopädische Behandlung bei Zahnzauber
Ihre Zufriedenheit steht für uns an erster Stelle. Lesen Sie hier, was unsere Patienten in unserer Praxis über ihre kieferorthopädische Erfahrungen bei uns sagen:
Echte Google Rezensionen
Habe meine Zahnspange wie versprochen wirklich nach 1,5 Jahren draußen. Bin Super glücklich!!! Super liebe Ärztin und Assistentinnen. Die Terminauswahl online hat alles sehr einfach gemacht wegen der Schule. Auch die Mundhygiene kann ich nur empfehlen. Extrem genau, aufwendig und man sieht und spürt den Erfolg danach.
Hat sich alles gelohnt ☺️!
April 2024 bei Google My Business
Wir sind seit so vielen Jahren zufriedene Kunden ! Meine Tochter hat durch euch wirklich wunderschöne Zähne bekommen ! Ich danke jeden einzelnen Mitarbeiter für die jahrelange Begleitung! Top Service, Top Qualität! Danke für alles
Juli 2024 bei Google My Business
Weitere Google Rezensionen
Weitere verifizierte Erfahrungsberichte auf Google MyBusiness finden Sie hier.
Wir freuen uns über jedes Feedback und danken Ihnen, dass Sie durch Ihr Feedback Ihre kieferorthopädische Erfahrungen mit der Patientenschaft teilen, die gerade auf der Suche sind nach dem passenden Kieferorthopäden.
DDr. Andrea Borbely
FAQs Kieferorthopädie in Wien
Wie lange dauert eine kieferorthopädische Behandlung?
Natürlich ist die Dauer der Tragezeit einer Zahnspange eine wichtige Frage. Eine kieferorthopädische Behandlung dauert je nach Schweregrad der Fehlstellung zwischen 6 und 24 Monaten. Leichte Zahnfehlstellungen und Kieferfehlstellungen können heute schon oft innerhalb von 6 Monaten mit durchsichtigen Schienen korrigiert werden. Schwere Bissfehlstellungen benötigen meist länger. Wir schließen über 90 % unserer Behandlungen unter 2 Jahren ab, egal wie schwerwiegend die Fehlstellung war.
Welche Kosten übernimmt die Krankenkasse für Zahnspangen?
Eine häufige Frage stellt natürlich die Kostenrückerstattung bei kieferorthopädischen Behandlungen durch die Krankenkassen dar. Kinder und Jugendliche werden bis zu 4500.- Euro bei schweren Fehlstellungen bezuschusst und dies oft nur bei festsitzenden Metallbrackets. Erwachsene bekommen bei schweren Zahnfehlstellungen sowie Kieferfehlstellungen und festsitzenden Behandlungen jährlich ca. 775.- Euro von der ÖGK zurückerstattet (dies sind ca. 50 % der Behandlung). Nur die BVA bezuschusst auch die Behandlung mit durchsichtigen Schienen. Leider lehnt die ÖGK jeden Zuschuss bei Schienenbehandlungen ab.
Was passiert, wenn ich einen Draht oder ein Bracket verliere?
Wenn ein Bracket vom Zahn abgeht, dann bleibt diese meist lose am Draht/Bogen hängen, da wir mit einem selbstligierenden System arbeiten. In sehr seltenen Fällen kann ein Bogen brechen. Wenn Sie dieser Umstand im Mund stört, kleben Sie von uns erhaltenes Wachs oder Silikon auf die Stelle, um die Schleimhäute zu schützen. Dann vereinbaren Sie einfach einen SOS Termin bei uns – größtenteils am selben Tag möglich – und wir reparieren für Sie die Zahnspange kostenlos, wenn Sie sich bei uns in Behandlung befinden.
Ab welchem Alter sollte man mit der kieferorthopädischen Behandlung beginnen?
Eine Frühbehandlung ist meist bei Kindern ab 6 Jahren möglich. Ein gutes Entwicklungsmerkmal ist, wenn die ersten Frontzähne im Ober-/Unterkiefer am Durchbrechen sind. In sehr seltenen Fällen kann auch schon früher begonnen werden. Dies hängt aber mit der Compliance des Kindes ab. Ein idealer Behandlungsbeginn ist zwischen 6 und 12 Jahren.
Wie schmerzhaft ist eine kieferorthopädische Behandlung?
Heutzutage ist eine kieferorthopädische Behandlung kaum schmerzlich, da mit moderner Technologie, wie selbstligierenden Bracket und NiTi Bögen und durchsichtigen Schienen gearbeitet wird. Früher waren KFO Behandlungen oft schmerzhaft, da man geglaubt hat, dass viel Druck viel hilft. Dieser Kenntnisstand ist heut längst verworfen, da man weiß, dass leichte Kräfte Zähne schneller und schonender bewegen lassen.
Es ist lediglich nach dem Anbringen von festsitzenden Zahnspangen eine Schleimhautirritation an den Wangen festzustellen. Dem ist mit Schutzwachs entgegenzuwirken, bzw. gewöhnt man sich sehr rasch an die Brackets. Nach neuen Aktivierungen kann man ein leichtes Druckgefühl im Kiefer verspüren, welches sich wieder in ein paar Tagen gibt.
Ist eine kieferorthopädische Behandlung auch im Erwachsenenalter noch sinnvoll?
Natürlich ist mit jedem Alter eine kieferorthopädische Behandlung möglich und sinnvoll. Unsere ältesten Patienten sind über 70 Jahre! Die Behandlungsart kann an die individuellen Bedürfnisse angepasst werden. Unsichtbare Alternativen sind innenliegende Zahnspangen oder Aligner.
Was ist der Unterschied zwischen einem Zahnarzt und einem Kieferorthopäden?
Kieferorthopäden sind auf die Korrektur von Zahn bzw. Bissfehlstellungen spezialisiert und fertigen nur Zahnspangen für Zahn und Bisskorrekturen an. Daher sind sie auch für Kiefergelenksprobleme zuständig. Außerdem sind sie für ästhetische und funktionelle Fragen die richtige Anlaufstelle. Zahnärzte sind auf individuelle Einzelzahnbehandlungen spezialisiert. Diese machen nur Füllungen, Wurzelbehandlungen, Kronen, Brücken und Implantate.
Welche alternativen Finanzierungsmöglichkeiten gibt es, wenn die Krankenkasse nicht zahlt?
Wir bieten eine Ratenzahlungsmöglichkeit über www.zahnkredit.at an. Hier kann man auch online einen Antrag stellen, der sehr schnell bearbeitet wird. Außerdem sind die KFO Kosten einer festsitzenden Zahnspange auf die Behandlungsjahre aufgeteilt. Die Krankenkasse bezuschusst Kiefer- und Zahnregulierungen in den meisten Fällen. Nur rein ästhetische Korrekturen müssen gänzlich selber bezahlt werden.
Ihre unverbindliche Erstberatung:
Stellen Sie alle Ihre Fragen
Bitte melden Sie sich zu einem unverbindlichen Beratungsgespräch in unserer Praxis an. Sie erhalten Informationsmaterial über „Ihre Zahnspange“ sowie einen Kostenvoranschlag (siehe auch Zahnspange-Kosten). Wir beantworten gerne alle Ihre Fragen und Anliegen.








,,
ich behandle jeden Patienten persönlich, jeder Draht wird von mir persönlich gewechselt, jeder Zahn bei jedem Kontrolltermin kritisch von mir begutachtet. Mein Drang zum Perfektionismus bringt mir viel zusätzliche Mehrarbeit, doch finde ich, dass jeder Patient das Recht hat auf ein für ihn bestmögliches Ergebnis